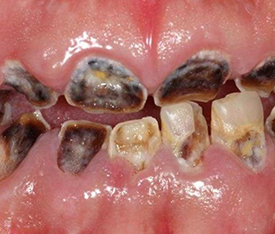
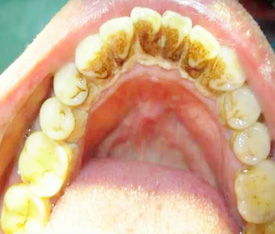
当你的牙齿开有这些牙病问题时,应及早治疗
你知道吗?据统计我国有超过3亿人存在不同程度的牙齿缺失,影响到正常进食,咀嚼功能退化,连累到消化系统
更可能诱发心血管疾病和记忆力减退等多种疾病,严重影响身心健康。
标准化牙病综合治疗,从根部找病因
诊疗范围:各类龋病(蛀牙),非龋性牙体疾病(着色牙、牙发育异常、牙外伤、牙本质过敏以及牙慢性损伤),牙髓病和根尖周病,牙龈炎,牙周炎,牙周-牙髓联合病变的治疗,各类牙周手术及根管再治疗等等。诊疗更私密,独立牙位房间。
专业诊疗团队,关爱您的健康
一人一椅位,针对不同患者情况,定制专属个性化诊疗方案
六大服务优势 让你放心安心
优质的服务,优美的环境,高超的医技,上乘的医疗质量让每一位患者满意
更丰富的行业经验
医院始建于1973年,始终专注于口腔领域
更强大的医师团队
本院专家团队实力雄厚,拥有多名主任医师与副主任医师在院
更优惠的就医政策
本院是公立医院,就医享受国家医保政策补贴
更强的诊疗技术
整合国际化资源平台,在设备引进、团队组建,技术研发方面更加专业规范
更好的就医环境
本院为顾客精心营造了舒适、温馨的诊疗环境,减少就诊的不适感
更优的术后服务
为您提供术后康复跟踪服务,确保手术效果
致力于打造更舒适的就医环境
新乡市口腔医院为顾客精心营造了舒适、温馨的诊疗环境,处处传递着温馨的气息
